محققان کانادایی به سرپرستی دکتر «مریم اسکویی» موفق به کشف عامل ژنتیکی فلج مغزی شدند که می تواند راه حل جدیدی را برای درمان این بیماری پیش روی محققان قرار دهد.

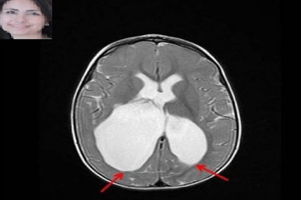
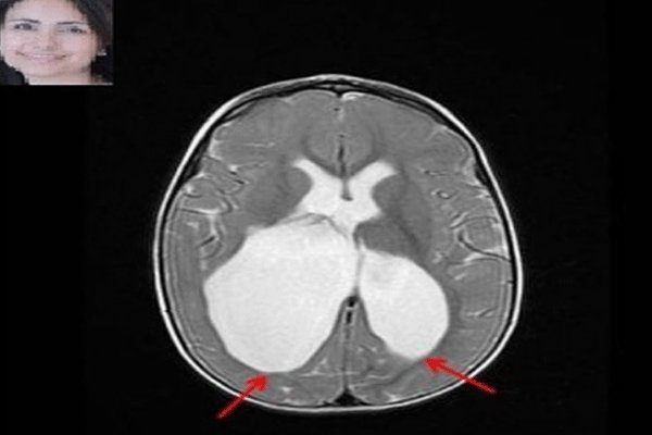
فلج مغزی به مجموعه ای از علائم عصبی اطلاق می شود که به اختلال در حرکت و وضعیت کودک منجر می شود. مطالعات اخیر نقش پایه ای ژنتیک را در بروز فلج مغزی ثابت کرده و مانند بیشتر بیماری های نوروژنتیک، نحوه وراثت چند عاملی (مولتی فاکتوریال) برای آن مطرح شده است.
محققان کانادایی به سرپرستی دکتر «مریم اسکویی»، متخصص مغز و اعصاب بیمارستان کودکان مونترال کانادا موفق به کشف عامل ژنتیکی فلج مغزی شدند.
مطالعات محققان نشان می دهد، مولفه های ژنتیکی در بروز فلج مغزی بیش از تصورات پیشین نقش دارند. در این مطالعه به چگونگی تعامل عوامل خطر ژنتیکی نیز پرداخته شده است.
نتایج این مطالعه می تواند باورهای گذشته درباره عوامل فلج مغزی را تغییر دهد زیرا پیش از این تصور می شد عفونت و خفگی هنگام تولد عاملی برای فلج مغزی هستند، به همین دلیل توجهی به آزمایشات ژنتیکی پیش از بارداری نمی شد.
محققان در مطالعات گذشته چندین عامل خطرساز مرتبط با بارداری از جمله زایمان زودرس، رشد غیر طبیعی، قرار گرفتن در معرض عفونت و کمبود اکسیژن در هنگام تولد را شناسایی کرده بودند. فلج مغزی، در توانایی حرکت کردن اعضای بدن و حفظ تعادل اثر می گذارد.
نتایج مطالعات محققان در سال ۲۰۰۸ میلادی نشان می دهد، حدود ۵۸.۲ درصد از کودکان مبتلا به فلج مغزی بدون کمک گرفتن از کسی قادر به راه رفتن هستند اما ۱۱.۳ درصد از همین کودکان برای راه رفتن به وسایلی مانند واکر نیازمندند و این موضوع در حالی است که ۳۰.۶ درصد از کودکان فلج مغزی قادر به راه رفتن نیستند.
نتایج این مطالعه می تواند راه حل های جدیدی را برای درمان این بیماری پیش روی محققان قرار دهد.
منبع: مهر