دانشمندان دانشگاه پنسیلوانیا در تلاشند با روش مشابه درمان سرطان خون، نوعی بیماری پوستی صعب العلاج را بهبود بخشند.

محققان دانشگاه پنسیلوانیا در سالهای اخیر مدعی درمان سرطان خون با استفاده از نوع خاصی از مهندسی ژنتیک شده بودند و حالا تیم تحقیقاتی دیگری از این دانشگاه ادعا کردهاند که ممکن است با همین روش بتوانند بیماری پوستی ناتوان کننده ای را درمان کنند. این ادعا به این خاطر است که هر دو این بیماری ها یک وجه مشترک دارند و آن انحراف سلول های سیستم ایمنی است.
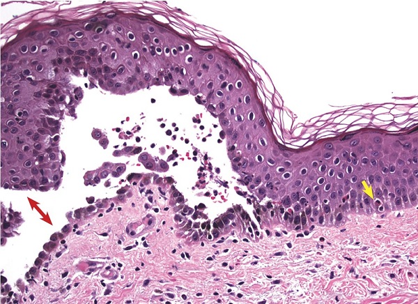
درمان این بیماری پوستی که یک اختلال خود ایمنی نادر به نام "پمفیگوس ولگاریس" (تاول پوست) است، تابحال فقط روی موش ها آزمایش و تایید شده است. اما به دلیل درمان آن در مورد سرطان خون انسان که نتایج بسیار خارقالعاده ای ارائه کرد، محققان خوشبین هستند که روزی بتوانند بیماری پمفیگوس و حتی سایر بیماریهای خودایمنی را در انسان درمان کنند.
بیماریهای خودایمنی وقتی اتفاق میافتند که سیستم ایمنی بدن بافت بدن خود بیمار را اشتباها به عنوان عضو خارجی در نظر بگیرد و در نتیجه به آن حمله کند.
در بیماری پمفیگوس، نوعی از پروتئین که سلول های پوست را کنار هم نگه می دارد مورد حمله قرار می گیرد. وقتی این سلول های ایمنی نابهنجار، پروتئین مذکور را از بین می برند، پوست کیفیت خود را از دست می دهد و بخصوص در ناحیه دهان و گلو تاول می زند. خوردن و آشامیدن در این حالت بسیار سخت و حتی جانفرسا می شود و می تواند بیمار را دچار عفونت کند.
این مورد نادر در اواسط قرن بیستم که کورتیزون و سایر استروئیدهای سرکوبگر ایمنی وجود نداشت حتی یک بیماری کشنده به حساب می آمد. اما هر دو این داروها هم به دلیل کاهش ایمنی بدن دردسر سازند و بدن بیمار را مستعد عفونت می کنند.
در دو بیماری سرطان خون و بیماری تاول پوستی، اختلال در سلول های بخش ایمنی بدن رخ می دهد و در بعضی سرطان های خون، این اختلال باعث بدخیم شدن سلول ها می شود.
در درمان این بیماری پوستی، دانشمندان سلول های ایمنی را دستکاری می کنند که فقط قادر باشند سلول های اختلال یافته را نابود کنند.
موش ها به طور طبیعی درگیر این بیماری نمی شوند. بنابراین دانشمندان مجبور به تزریق سلول های نابهنجار به تعدادی از این حیوانات شدند که بعد از چند هفته درمان، هیچ تاولی در موش ها مشاهده نشد.
هدف بعدی این گروه تحقیقاتی استفاده از همین روش در درمان تاول سگهاست که بطور طبیعی امکان تاول زدنشان وجود دارد. دانشمندان همچنین در تلاشند تا این روش درمانی را روی انسان آزمایش کنند.
منبع: ایسنا