
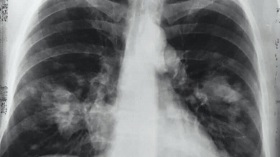
محققان دریافتند بقای سلولهای غیرطبیعی حاصل از ابتلا به کووید ۱۹ در ریه، مهمترین عامل بروز آسیبهای ریوی محسوب میشود.
به گزارش ایرنا، در نتیجه بررسیهای محققان؛ در اغلب موارد، ریه دچار آسیبهای شدید شده است و ساختار عادی ریه و بافتهای تنفسی تغییر کرده و به مواد فیبروتیک تبدیل شده است. تقریبا ۹۰ درصد این بیماران دارای دو ویژگی منحصر به کووید ۱۹، شامل وجود لختههای خون در رگهای ریه و سلولهای غیرطبیعی چندهستهای و بسیار بزرگ حاصل از امتزاج چندین سلول عادی بودند.