فیلم بیشتر »»
کد خبر ۲۹۲۷۲۶
تاریخ انتشار: ۰۸:۳۴ - ۰۴-۰۶-۱۳۹۲
کد ۲۹۲۷۲۶
انتشار: ۰۸:۳۴ - ۰۴-۰۶-۱۳۹۲

چهار انگلی که مغز را هدف می‌گیرند (+عکس)

عصر ایران
بیشتر افراد گمان می‌کنند که انگل‌های مغزخوار به افسانه‌های علمی‌تخیلی تعلق دارند، اما متاسفانه Naegleria fowleri تنها میکروارگانیسمی نیست که با پیداکردن فرصت، به مغز انسان حمله می‌کند.

چهار گونه انگل می‌توانند به مغز انسان حمله کنند و موجب بروز تغییراتی عمده در ساختار این عضو حیاتی شوند.

به گزارش ایسنا، چهار میکروارگانیسم وجود دارند که می‌توانند به مغز انسان حمله کنند.

این گزارش به معرفی این انگل‌ها می‌پردازد:

Naegleria fowleri

موجودی به نام Naegleria fowleri بیشتر در دریاچه‌های دارای آب تازه، رودخانه‌ها و جویبارهای داغ وجود دارد و می‌تواند به درون بینی فرد حرکت کرده و از آنجا وارد مغز شود. در آن‌جا این انگل شروع به نابودکردن مغز می‌کند.

در ایالات متحده بین ‌سال های 2001 و 2010، 32 مورد از این دست گزارش شد.

در نتیجه این واقعیت، سازمان بهداشت فلوریدا هشداری را علیه شناکردن افراد در آب پست و گرم ابلاغ کرد.

بیشتر افراد گمان می‌کنند که انگل‌های مغزخوار به افسانه‌های علمی‌تخیلی تعلق دارند، اما متاسفانه Naegleria fowleri تنها میکروارگانیسمی نیست که با پیداکردن فرصت، به مغز انسان حمله می‌کند.

کرم‌های Taenia solium

این کرم‌های بزرگسال که در افریقا، آسیا و امریکای لاتین زیست می‌کنند، می‌توانند در درون دستگاه گوارش انسان زندگی کرده و تخم‌هایی را تولید کنند که انسان میزبان آن‌ها را از طریق مدفوع دفع می‌کند.

تخم‌های مزبور هنگامی که خوک‌ها به دنبال غذا می‌گردند، می‌توانند به طور کامل توسط این حیوانات جاروب شوند.

این لارواها در معده خوک سر از تخم بیرون می‌آورند، راه خود را به درون جریان خون باز می‌کنند و سرانجام به عضلات حیوان می‌رسند.

لاروا احتمالا توسط انسان‌های مصرف‌کننده گوشت خوک‌ خورده می‌شود.

در انسان‌ها، راه این لارواها در مغز خاتمه می‌یابد و این موجودات کیست‌هایی را شکل می‌دهند که موجب بروز بیماری به نام neurocysticercosis می‌شود.

چنین موضوعی می‌تواند موجب ظهور حملات صرع و سردرد شده و سرانجام به مرگ بیانجامد.

انگل Toxoplasma gondii

این ارگانیسم تک‌سلولی می‌تواند فقط در شرایط فراهم‌شده توسط روده‌های گربه تولیدمثل کند.

هنگامی که این موجود موشی را آلوده می‌کند، میزبانش را به طور غیرنرمال به موجود نترسی در مقابل ادرار گربه تبدیل کرده و شانس موش برای خورده‌شدن توسط یک گربه و بازگشت انگل به میزبان بومی‌اش را فراهم می‌کند.

متاسفانه انسان‌ها نیز می‌توانند توسط t. gondii آلوده شوند.

در ایالات متحده از هر چهار بزرگسال، یک نفر به این انگل آلوده شده، اما تعداد کمی از سوژه‌های این ارگانیسم به اندازه کافی بیمار شده‌اند تا متوجه چنین حالتی شوند.

در حال حاضر این نگرانی وجود دارد که انگل‌ زمان‌های واکنش را کند می‌کند و افراد را در معرض خطر دوگانه تصادفات ترافیکی قرار می‌دهد.

همچنین مطالعه‌ای در مرکز JAMA Psychiatry ارتباط بین انگل مزبور و آسیب‌رساندن به خود را در زنان (مانند مثله‌کردن خود) دریافت.

کرم چشم

کرم چشم موجودی نخ‌مانند به نام Loa loa است و هنگامی که در درون بدن انسان می‌خزد، برای استراحت بیش از اندازه به مغز نزدیک می‌شود.

این گونه‌ که در افریقای مرکزی و غربی یافت می‌شود، می‌تواند به مدت 10 تا 15 سال از طریق بافت انسانی منتقل شود.

عفونت از گاز آهو و مگس‌های انبه که نزدیک مناطق جنگلی و باتلاق زندگی می‌کنند، ناشی می‌شود.

داشتن چنین کرمی در بدن می‌تواند منجر به خارش، التهاب، آسیب به سیستم عصبی و شبکیه چشم شود.

به طور متناقضی، استفاده از داروها برای کشتن لاروای Loa loa می‌تواند خطرناک باشد، زیرا هنگامی که تعداد زیادی لاروا در درون و اطراف مغز می‌میرند، مویرگ‌ها را مسدود کرده و موجب بروز انسفالوپاتی می‌شوند.

انسفالوپاتی شرایطی است که منجر به از دست رفتن قوه شناختی، مشکلات حافظه، تغییرات شخصیتی و بسیاری عوارض دیگر می‌شود.



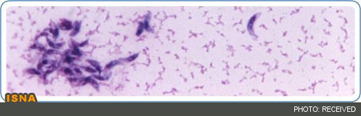
چرخه‌های زندگی انگل Naegleria fowleri



کرم خوک



انگل Toxoplasma gondii



انگل Loa Loa

برچسب ها: انگل ، مغز انسان
ارسال به دوستان
چرا زنان نیاز بیشتری به ویتامین دی دارند ازدواج قنات زارچ؛ طولانی‌ترین قنات ساخت دست بشر در یزد(+عکس) بارسلونا قهرمان لالیگا شد؛ فتح ال‌کلاسیکو و جشن در نوکمپ محسن رضایی: هدف رژیم صهیونیستی شعله‌ور کردن آتش درگیری در منطقه است استقبال ویژه از علیرضا منصوریان در موصل با لباس محلی کردی واکنش ترامپ به طرح پیشنهادی ایران درباره مذاکرات: کاملا غیرقابل قبول است موانع اجرای مدل اینترنت چین در ایران؛ چرا کپی‌برداری ممکن نیست؟ افزایش پروازهای جمع‌آوری اطلاعات آمریکا بر فراز کوبا هشدار نسبت به پیامدهای وابستگی بیش از حد دانش‌آموزان به تلفن همراه بقائی: تاریخ برای آنان که عبرت نمی‌گیرند دوباره تکرار می‌شود کاخ سفید: ترامپ عصر چهارشنبه وارد پکن خواهد شد طوفان ۱۲۲ کیلومتری زابل را درنوردید؛ دید افقی به ۸۰۰ متر رسید دانش‌ آموزان افغانستانی یاد شهدای مدرسه میناب را گرامی داشتند پاسخ ایران به آمریکا داده شد/ ترامپ: قبول نیست اعلام رسمی برنامه سفر ترامپ به پکن؛ پرونده ایران و روسیه روی میز مذاکرات